Αρχική 2018
Ετήσιο Αρχείο: 2018
Αλεξάνδρεια – «Τα Παιδιά της Άνοιξης»: Προσοχή, επιτήδειοι πωλούν προϊόντα που δεν έχουν σχέση...
Τις τελευταίες ημέρες έχει παρατηρηθεί ότι, άτομα σε διάφορες περιοχές και πόλεις, χρησιμοποιούν τον διακριτό τίτλο του ΚΔΗΦ ΑμεΑ « Τα Παιδιά της Άνοιξης...
Σπουδαίο φιλικό αύριο: Νίκη Αγκαθιάς – Αχιλλέας Νεοκαισάρειας, στο γήπεδο Αγκαθιάς.
Οι ποδοσφαιρόφιλοι της Ημαθίας αύριο 18 Αυγούστου στο γήπεδο της Αγκαθιάς, θα έχουν την ευκαιρία να παρακολουθήσουν ένα πολύ ενδιαφέρον φιλικό αγώνα.
Η νεοφώτιστη...
Σύστημα τεχνητής νοημοσύνης, με τη βοήθεια της Google Deep Mind, κάνει οφθαλμολογικές διαγνώσεις εξίσου...
Ένα νέο σύστημα τεχνητής νοημοσύνης, που αναπτύχθηκε με τη βοήθεια της Deep Mind, βρετανικής εταιρείας θυγατρικής της Google, μπορεί να διαγνώσει πολλές παθήσεις των...
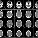
Νέο σύστημα τεχνητής νοημοσύνης κάνει ορθές νευρολογικές διαγνώσεις-εξπρές πολύ πιο γρήγορα και από γιατρό
Ερευνητές στις ΗΠΑ δοκίμασαν με επιτυχία ένα νέο σύστημα τεχνητής νοημοσύνης, το οποίο χρειάζεται μόλις 1,2 δευτερόλεπτα -πολύ λιγότερο από ό,τι οι γιατροί- για...
Ισραήλ: Συσκευή που ανέπτυξε ισραηλινή start-up εταιρία μπορεί να εντοπίσει ένα παιδί που πνίγεται...
Ισραηλινή νεοφυής εταιρία ανέπτυξε μια συσκευή που αξιοποιώντας την τεχνολογία τεχνητής νοημοσύνης (AI) μπορεί να εντοπίσει ένα παιδί που πνίγεται σε μια πισίνα, όπως...
Στεφάν Ράμστορφ : «Η υπερθέρμανση του πλανήτη αφορά και την δική μας γενιά»
«Η υπερθέρμανση του πλανήτη δεν αφορά τις μελλοντικές γενιές, αλλά και τη δική μας» αναφέρει ο γερμανός καθηγητής Στεφάν Ράμστορφ.
«Όλοι έχουμε συνηθίσει όλο και...
Κύπρος: Νέα αρχαιολογικά ευρήματα του 5ου αιώνα π.Χ κοντά στο ιερό της Κυπρίας Αφροδίτης,...
Ένα σύνθετο αρχιτεκτονικό σύμπλεγμα, το οποίο είχε ανεγερθεί στις αρχές του 5ου αιώνα π.X. από τη βασιλική δυναστεία της Πάφου για τη διαχείριση οικονομικών...
Θεσσαλονίκη: Ελλείψεις, άνοδο τιμών για τον καταναλωτή και προβλήματα στους αλιείς προκαλεί η επανεμφάνιση...
Ελλείψεις, αλλά και άνοδο στις τιμές αλιευμάτων για τον καταναλωτή, σηματοδοτεί η επανεμφάνιση του φυτοπλαγκτόν στο Θρακικό Πέλαγος, με τους αλιείς να μιλούν για...
Αγαπητό μου ημερολόγιο… Ημέρα επίσκεψης παιδιών στην εργασία του στρατιωτικού γονέα
«Η επίσκεψή μου στην Ταξιαρχία ήταν απερίγραπτης αξίας καθώς με βοήθησε να καταλάβω την καθημερινότητα του πατέρα μου, να γνωρίσω το χώρο στον οποίο...
Βατικανό: Ο πάπας “στέκει στο πλευρό των θυμάτων” σεξουαλικής κακοποίησης, τονίζει η Αγία Έδρα
"Ντροπή και οργή" εξέφρασε σήμερα το Βατικανό, μετά την έρευνα που διενεργήθηκε στην Πενσιλβάνια και έδειξε ότι περισσότεροι από 300 ιερείς της Ρωμαιοκαθολικής Εκκλησίας...











